你提供的照片可能用于改善必应图片处理服务。
隐私政策
|
使用条款
无法使用此链接。检查链接是否以 "http://" 或 "https://" 开头,然后重试。
无法处理此搜索。请尝试其他图像或关键字。
试用视觉搜索
使用图像搜索、识别对象和文本、翻译或解决问题
将一个或多个图像拖到此处,
上传图像
或
打开相机
将图像放到此处以开始搜索
要使用可视化搜索,请在浏览器中启用相机
English
全部
搜索
图片
灵感
创建
集合
视频
地图
资讯
更多
购物
航班
旅游
笔记本
自动播放所有 GIF
在这里更改自动播放及其他图像设置
自动播放所有 GIF
拨动开关以打开
自动播放 GIF
图片尺寸
全部
小
中
大
特大
至少... *
自定义宽度
x
自定义高度
像素
请为宽度和高度输入一个数字
颜色
全部
仅限颜色
黑白
类型
全部
照片
剪贴画
素描
动画 GIF
透明
版式
全部
方形
横版
高
人物
全部
仅脸部
半身像
日期
全部
过去 24 小时
过去一周
过去一个月
去年
授权
全部
所有创作共用
公共领域
免费分享和使用
在商业上免费分享和使用
免费修改、分享和使用
在商业上免费修改、分享和使用
详细了解
清除筛选条件
安全搜索:
中等
严格
中等(默认)
关闭
筛选器
1000×1000
news.fudan.edu.cn
类脑智能科学与技术研究院冯建峰团队发 …
270×270
baike.baidu.com
The Second Brain_百度百科
580×580
infogram.com
A Serial Killer's brain vs. A Normal Brain by richhomiejua…
580×580
infogram.com
A Serial Killer's brain vs. A Normal Brain by ric…
960×640
Uncrate
The Second Brain | Uncrate
698×392
news.ifeng.com
第二大脑_凤凰网
512×512
2brain.cn
第二大脑 - 用AI构建企业级多模态知识管理系统 - 第二大脑
1200×628
readingoutpost.com
《第二大腦》讀後心得:本書特色和帶給我的三個啟發 | 閱讀前哨站
900×900
www.youtube.com
Serial Brain - YouTube
1200×628
readingoutpost.com
《打造第二大腦》讀後心得:現代人必學的知識管理法 | 閱讀前哨站
600×600
brainmed.com
Nature子刊丨复旦大学脑科学研究 …
1080×1461
brainmed.com
AiBrain盘点大赏丨Nature期刊相关的 …
1080×1055
brainmed.com
AiBrain盘点大赏丨Nature期刊相关的 …
GIF
1080×230
brainmed.com
Science丨美国脑计划2.0启动!投5亿美元,绘制史上最全人脑细胞图谱 - 脑医汇
GIF
900×444
brainmed.com
Science丨美国脑计划2.0启动!投5亿美元,绘制史上最全人脑细胞图谱 - 脑医汇
1080×720
brainmed.com
X-Brain: 大猫带你读“意识”巨著系列(八十六):二元论-交互作用论的问题 - 脑 …
540×1188
researchgate.net
Serial Brain Magnetic Res…
1600×1067
zamagniarte.it
USB Universal Serial Brain - Zamagni Arte
1280×720
rumble.com
SerialBrain2: Are we Alone?
1400×1400
ivoox.com
Serial Killer Brain - Podcast en iVoox
1920×1081
www.reddit.com
SERIAL BRAIN 2 : u/noloner1
874×641
blogspot.com
Lynn White, Focus Sessions: Gematria, Serial Brain 2 and War …
1246×620
blogspot.com
Lynn White, Focus Sessions: Gematria, Serial Brain 2 and War Drummer with a touch of Q
320×1458
www.reddit.com
The Brain of a Serial Killer : r/…
1280×696
rumble.com
SerialBrain2_ Trump confirms he took control of the chemtrails and reveals more!
320×320
researchgate.net
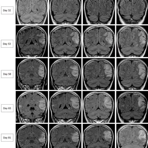
Serial brain MRIs for patient 2 did not reveal any abnor…
1920×1081
loveinactionnow.com
Serial Brain 2 ~ Trump, Q and the Beauty of D5 ⋆ LOVE IN ACTION NOW
1920×1081
loveinactionnow.com
Serial Brain 2 ~ Trump, Q and the Beauty of D5 ⋆ LOVE IN ACTION NOW
1920×1081
loveinactionnow.com
Serial Brain 2 ~ Trump, Q and the Beauty of D5 ⋆ LOVE IN ACTION NOW
640×640
researchgate.net
FIGURE Serial brain and spinal cord MR…
640×640
researchgate.net
Serial brain images covering three recur…
320×320
Giant Bomb
Dead of the Brain 2 (Game) - Giant Bomb
1280×720
stillnessinthestorm.com
Q Anon Connections: The Truth about Notre Dame May Surprise You (Part 1) …
720×480
awesomeanalytics.in
The Art of Building a Second Brain | Awesome Analytics
615×800
sciencephoto.com
Second brain, conceptual illustrati…
某些结果已被隐藏,因为你可能无法访问这些结果。
显示无法访问的结果
报告不当内容
请选择下列任一选项。
无关
低俗内容
成人
儿童性侵犯
反馈