你提供的照片可能用于改善必应图片处理服务。
隐私政策
|
使用条款
无法使用此链接。检查链接是否以 "http://" 或 "https://" 开头,然后重试。
无法处理此搜索。请尝试其他图像或关键字。
试用视觉搜索
使用图像搜索、识别对象和文本、翻译或解决问题
将一个或多个图像拖到此处,
上传图像
或
打开相机
将图像放到此处以开始搜索
要使用可视化搜索,请在浏览器中启用相机
English
全部
搜索
图片
灵感
创建
集合
视频
地图
资讯
更多
购物
航班
旅游
笔记本
Language Mapping 的热门建议
Language
Mind Map
Language Mapping
Template
NLP Mind
Map
Language Mapping
Brain
Cortical
Mapping
Learning
Mind Map
Best Data Visualization
Examples
Language Mapping
Book
Mapping
as a Common Language
World Language
Family Map
fMRI Brain
Mapping
Schema
Mapping Language
Awake
Language Mapping
Map Learning
Languages
Global Language
Map
Language Mapping
in Ionm
Language Mapping
Cleveland
Mapping Language
Year 4
Language Mapping
Icon
Body Language
Mind Map
Language
Concept Map
English Word
Mind Map
Indonesia Language
Map
Indian Language
Map
Concept Map
Ideas
Intraoperative
Language Mapping
Language
Difficulty Chart
Language
Geography
World Language
Tree
Language Mapping
Scan
Language
Tree Diagram
Russian Language
Map
French Language
World Map
South Africa
Language Map
Language Mapping
Database
Language
History
Language
Groups Map
East Asia
Language Map
Latin America
Language Map
Nigeria
Language
China Language
Map
RDF
Mapping Language
Brain Structure
Map
Canada Language
Map
Language
Difficulty Ranking
What Language
to Use in Mapping
Brain Surgery Awake
Language Mapping
India Language
Map
North America
Language Map
Spanish Language
Map
自动播放所有 GIF
在这里更改自动播放及其他图像设置
自动播放所有 GIF
拨动开关以打开
自动播放 GIF
图片尺寸
全部
小
中
大
特大
至少... *
自定义宽度
x
自定义高度
像素
请为宽度和高度输入一个数字
颜色
全部
仅限颜色
黑白
类型
全部
照片
剪贴画
素描
动画 GIF
透明
版式
全部
方形
横版
高
人物
全部
仅脸部
半身像
日期
全部
过去 24 小时
过去一周
过去一个月
去年
授权
全部
所有创作共用
公共领域
免费分享和使用
在商业上免费分享和使用
免费修改、分享和使用
在商业上免费修改、分享和使用
详细了解
清除筛选条件
安全搜索:
中等
严格
中等(默认)
关闭
筛选器
Language
Mind Map
Language Mapping
Template
NLP Mind
Map
Language Mapping
Brain
Cortical
Mapping
Learning
Mind Map
Best Data Visualization
Examples
Language Mapping
Book
Mapping
as a Common Language
World Language
Family Map
fMRI Brain
Mapping
Schema
Mapping Language
Awake
Language Mapping
Map Learning
Languages
Global Language
Map
Language Mapping
in Ionm
Language Mapping
Cleveland
Mapping Language
Year 4
Language Mapping
Icon
Body Language
Mind Map
Language
Concept Map
English Word
Mind Map
Indonesia Language
Map
Indian Language
Map
Concept Map
Ideas
Intraoperative
Language Mapping
Language
Difficulty Chart
Language
Geography
World Language
Tree
Language Mapping
Scan
Language
Tree Diagram
Russian Language
Map
French Language
World Map
South Africa
Language Map
Language Mapping
Database
Language
History
Language
Groups Map
East Asia
Language Map
Latin America
Language Map
Nigeria
Language
China Language
Map
RDF
Mapping Language
Brain Structure
Map
Canada Language
Map
Language
Difficulty Ranking
What Language
to Use in Mapping
Brain Surgery Awake
Language Mapping
India Language
Map
North America
Language Map
Spanish Language
Map
768×1024
scribd.com
Language Map | PDF
1200×600
github.com
GitHub - Language-Mapping/language-map: Front-end codebase for Language …
768×1024
scribd.com
Lesson 1 Language Ma…
1504×316
applanga.com
How to Map Languages between your App and Applanga • GlobalLink Strings Soft…
631×388
docs.bdb.ai
Mapping Table (Language Mapping Part) - Administrative S…
1200×480
socialscienceinsights.com
Mapping Language – Social Science Insights
1920×907
docs.bdb.ai
Mapping Table (Language Mapping Part) - Administrative Settings
726×466
community.crowdin.com
How does language mapping work? - General Questions - Crowdin Community
800×784
mindmappingsoftwareblog.com
Which mind mapping programs support which l…
618×404
planvisdocumentation1.azurewebsites.net
Language Mapping - Planvisage
922×512
help.sana-commerce.com
Language Mapping
800×600
unravellingmag.com
Language Mapping: Potatoes, landscapes, and the politics of lan…
720×540
SlideServe
PPT - World Language Mapping System PowerPoi…
270×350
www.teacherspayteachers.com
Language Mapping Work…
270×350
www.teacherspayteachers.com
Language Mapping Work…
717×236
researchgate.net
Language mapping for Java | Download Scientific Diagram
523×227
googlemapsmania.blogspot.com
Maps Mania: Natural Language Mapping
960×540
axisneuromonitoring.com
Language Mapping During Awake Brain Surgeries - Axis Neuromonitoring
1137×887
ethnichealth.org.nz
Who is Out There? Mapping Language Organisations in …
694×238
researchgate.net
Summary of language mapping results | Download Scientific Diagram
2532×1531
kenelyze.com
Who's Who in Large Language Model Science? Mapping Science as a Gra…
877×541
documentation.skillsoft.com
Language Mapping Option for Translated Courses
750×401
biggerplate.com
VOCABULARY MAPPING FOR LANGUAGE LEARNING: iMindMap mind map template | Biggerp…
3600×2040
langly.ai
Mind Mapping: A Powerful Tool for English Language Learning
1200×1553
studocu.com
Local Language Mapping - Solis, G…
350×260
otrmaps.wordpress.com
mapping languages | On The Road Cartography
1200×640
Forbes
Mapping The Hidden Geography Of Language Through The News
600×1723
thhink.com.au
Language-maps – thhink
1200×1553
studocu.com
Mapping Language - Geographical Infor…
1432×704
catalyzex.com
Mapping Languages: The Corpus of Global Language Use
1200×675
buymeacoffee.com
Language Maps is an exploration of languages!
497×497
researchgate.net
Examples of language mapping in the front…
850×310
researchgate.net
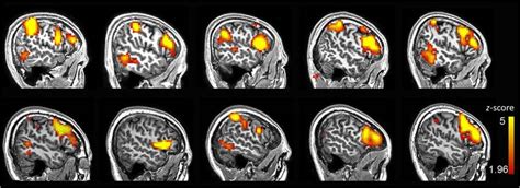
Individual language mapping result for 10 randomly selected subjects... | Download Sc…
529×778
researchgate.net
Analyzed mapping languages and t…
648×413
allcountries.org
Language Maps - Linguistic, Economy, Geography, Climate, Natural Resources, Cu…
某些结果已被隐藏,因为你可能无法访问这些结果。
显示无法访问的结果
报告不当内容
请选择下列任一选项。
无关
低俗内容
成人
儿童性侵犯
反馈